| Providers of professional and sincere medical care since 1942 |
 |
|
Yokakai Association |
|
 |
|
| 17-1, Hayasuzu, Miyakonojo City, Miyazaki, 885-0055 Japan Phone 81-986-25-1313 Fax 81-986-25-3950 |
|
|
Fujimoto Hayasuzu Hospital
|
|
|
|
| Address : 17-1, Hayasuzu, Miyakonojo City, Miyazaki, 885-0055 Japan |
| Phone : 81-986-25-1313 |
| Fax : 81-986-25-3950 |
|
| Number of beds : 330 |
|
| Clinical division |
| ・ |
Neurosurgery |
・ |
Surgery |
・ |
cardiovascular surgery |
・ |
Orthopedic surgery |
| ・ |
Dermatology |
・ |
Urology |
・ |
Otorhinolaryngology |
|
|
| ・ |
Ophthalmology |
・ |
Obsterics |
・ |
Oral and maxillofacial surgery |
| ・ |
Internal medicine |
・ |
Neurology |
・ |
Mammary gland medicine |
| ・ |
Gastroenterology |
・ |
Cardiology |
・ |
Pneumonology |
・ |
Anesthesiology |
| ・ |
Nephrology |
・ |
Psychiatry |
・ |
Psychosomatic medicine |
・ |
Rehabilitation |
| ・ |
Radiology |
・ |
Radiation oncology |
|
|
|
|
|
|
| Advance medical center |
| ・PET(Positron Emission Tomography) |
 |
|
 |
|
|
 |
|
FDG-PET
Left : breast cancer
Right : lung cancer |
|
|
|
| ・Gamma knife |
 |
|
Main targeted disease
・Metastatic brain tumor
・Cerebral arteriovenous malformation
・Acoustic neuroma
・NBuroblastoma
・Meningioma |
|
 |
 |
 |
|
 |
 |
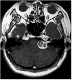
| Before |
After 3 months |
After 11months |
|
Before |
After 3 months |
| Acoustic neuroma |
|
Metastatic brain tumor |
|
| ・CyberKnife U |
 |
|
Main targeted disease
・Metastatic brain tumor
・Acoustic neuroma
・Arteriovenouse malformation
・Pituitary adenoma
・Head and neck tumor |
|
 |
 |
 |
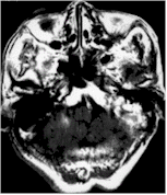
| Before |
After 3 months |
After 28 months |
| Cavernous hemangioma |
|
| ・MEG(Magnet Encephalo Graph) |
 |
|
 |
 |
|
|
temporal epilepsy |
brain tumor |
|
| Another instruments |
・Linac system
・64 channel volume CT
・CT scanner(2 sets)
・Superconductive MRI(2 sets)
・DSA(Digital Subtraction Angiography)
・Clinical EEG
・Digital gamma camera
・X-ray television system
・SPECT system
・Endocsope system
・Extracorporeal Shock Wave Lithotripter(ESWL)
・Oxygen under high pressure system
|